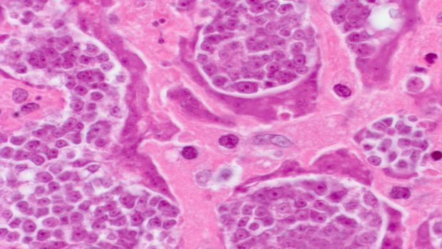
CDC researchers link cancer cells from parasite to human tumors
Leave a comment
Unique case raises questions about misdiagnosis and treatment. We have many intelligent people who work for our government. Sadly, they are not in charge. Scientists warned us about 5G and to not release it. Sadly, they are not in charge. It would be a beautiful world if intelligent people lead us.
Those cell towers are used for mind control. This is why they disguise 5G cell sites as nature. During the lockdown of 2020, they installed massive 5G cell sites everywhere as they unleashed a frequency that killed many. They fear revolt. They know it’s coming. They are preparing for us.
All politicians and celebrities in America are shapeshifters. America is home to the Reptilian. They created us for slavery. Believe it or not, it is the truth.
https://archive.cdc.gov/www_cdc_gov/media/releases/2015/p1104-parasite-tumors.html
Categorised in: Weblog

